Common Orthodontic Problems

Perfectly aligned teeth are rare, and most people experience some form of malocclusion, also known as a “bad bite.” Orthodontic problems can affect your ability to chew, speak clearly, maintain good oral hygiene, and feel confident in your smile.

Dr. Frederick Sacramone believes that understanding the issue is the first step toward a healthier bite and a more attractive smile. Whether the problem is inherited or caused by habits or trauma, our personalized orthodontic treatment can help you or your child achieve lasting results.

What Causes Bite Issues?

Common causes of bite or alignment problems include:

  • Genetics

  • Thumb sucking or prolonged pacifier use

  • Early or late loss of baby teeth

  • Dental trauma or injury

  • Poor oral hygiene or dental disease

  • Birth defects or other medical conditions

Here are some of the most frequent issues we correct with orthodontic treatment:
Protrusion Sacramone Orthodontics in Newtonville, MA

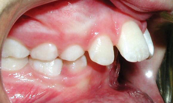
Upper Front Teeth Protrusion

Also known as “buck teeth,” this occurs when the upper front teeth stick out too far forward. It can affect both appearance and how the teeth come together when biting.

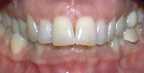
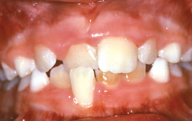
Overbite Sacramone Orthodontics in Newtonville, MA

Overbite

In an overbite, the upper front teeth significantly overlap the lower front teeth. In more severe cases, the lower teeth may bite into the roof of the mouth, causing discomfort or tissue damage.

Crossbite Sacramone Orthodontics in Newtonville, MA

Crossbite

A crossbite happens when the upper teeth sit inside the lower teeth. This misalignment can lead to uneven jaw growth and wear on the teeth if not corrected early.

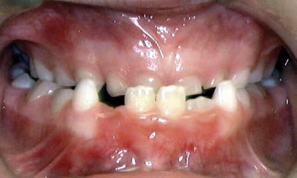
Open Bite Sacramone Orthodontics in Newtonville, MA

Open Bite

With an open bite, the upper and lower front teeth do not touch when the mouth is closed. This can make biting and chewing difficult and may contribute to habits like tongue thrusting.

Crowding Sacramone Orthodontics in Newtonville, MA

Crowding

Crowding occurs when there’s not enough space in the jaw for all teeth to erupt properly. This can lead to overlapping or rotated teeth. In many cases, expansion can solve the issue without the need for tooth removal.

Spacing Sacramone Orthodontics in Newtonville, MA

Spacing

Excess space between teeth may result from missing teeth or naturally small teeth. Though sometimes only cosmetic, gaps can also affect how your bite functions.

Underbite Sacramone Orthodontics in Newtonville, MA

Underbite

An underbite happens when the lower jaw extends too far forward, causing the lower teeth to sit in front of the upper teeth. This can affect chewing, speaking, and jaw health over time.